Radiologie Dentara Tecuci reprezinta pagina unde puteti gasi informatii utile despre Radiologie Dentara Tecuci: Radiologie Dentara Tecuci - PanoramicRx.

Despre Noi
Centrul de radiologie dentara Panoramic Rx dispune de aparate moderne si cu o inalta precizie in efectuarea radiografiilor intraorale si extraorale - ambele digitale cu doza minima de iradiere. Fiecare expunere este insotita de protectia pacientului cu sorturi de plumb, care evita trecerea radiatiilor spre zonele care nu prezinta interes pentru rezultatul radiologic.
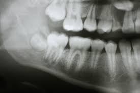
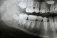
Radiografia retro-alveolara sau periapicala este o radiografie mica pe care se vad 2 maxim 3 dinti. Obiectivul acestui tip de radiografie este de a vizualiza dintele, radacina si osul inconjurator.
Radiografia retro-alveolara se poate folosi atat pentru dintii anteriori cat si pentru cei posteriori.
Acest tip de radiografie are rolul de a oferi detalii mai exacte privind afectiunile unui anumit dinte sau eventualele tratamente anterioare. Se poate folosi pentru a se stabili daca este nevoie de un tratament endodontic sau pentru a verifica succesul tratamentului dupa efectuarea obturatiei de canal.
De asemenea, oferim radiografii panoramice, care permit vizualizarea in ansamblu a tuturor dintilor si a elementelor maxilo-faciale inconjuratoare, cu ajutorul aparatului ultraperformant, cu doza extrem de scazuta de radiatii.

Pentru copii, se poate realiza ortopantomografie pediatrica, cu scopul de a vizualiza mugurii dintilor permanenti.
Cabinetul nostru va ofera imagini clare, cele mai mici doze de radiatii precum si preturi mici pentru pacientii care necesita astfel de investigatii.
Radiografiile dentare digitale au o calitate inalta, ajutand la diagnosticarea afectiunilor de sanatate orala inca din stadiu incipient.
Orice afectiune depistata la timp are mult mai multe sanse de a fi tratata rapid, complet, cu minim de disconfort al pacientului si cu investitii minime din partea sa.
Servicii

Radiografii intraorale digitale
Radiografii panoramice digitale